罗氏正骨法:胫腓骨骨折的治疗


胫骨骨折都有外伤所致,是一种多发病、常见病。如物体的撞击、由高处摔下、旋扭过猛等,均易造成骨折。由于身体诸方面因素,也可见少年好发骨折,但少见。

一、症状与诊断
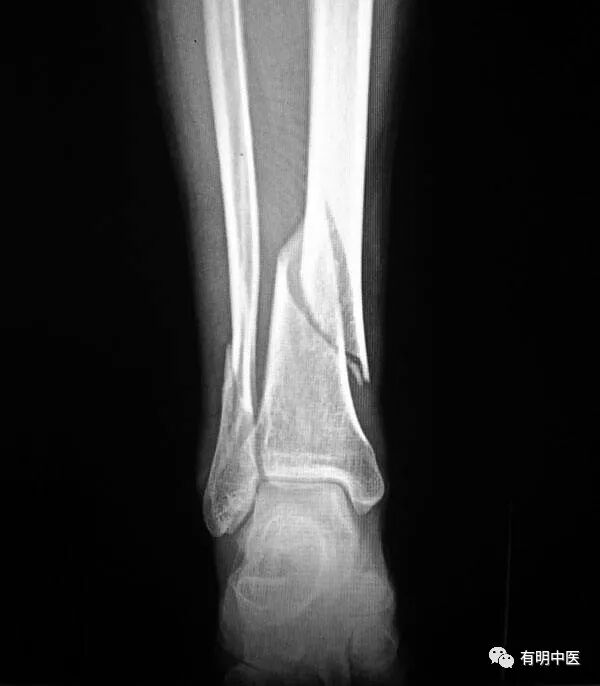
骨折后,一般局部淤血肿胀、疼痛,压痛明显,畸形,运动功能障碍。触诊,有骨擦音及高低不平的感觉。x线片可助诊断。
二、治疗
患者平坐在治疗床上,如有骨折伴错位时,一助手用双手稳定住患者的上身,一助手握住患肢足部呈对抗性牵拉,医生用双手握住伤肢,同时用拇指在突出点轻压复位(图82)。

螺旋形骨折伴错位时治疗,一般助手在向下牵拉的同时,将旋转畸形的伤肢,缓慢回旋至功能位,医生在助手牵拉,回旋的同时用握住骨折处的拇指在突起处下压复平,既对位。手法对位,以保胫骨为主,兼治腓骨。口服接骨续筋药。

对位后用夹板固定(图83)。随时观察体内的变化和扎缚的松紧。2周后,可改为三天复诊一次和增膝、踝关节的按摩。6周后可用一号外用洗药熏洗伤肢。8周后可以下床持拐功能锻炼,也是考虑去夹板的时期。

有明中医 罗氏正骨 国家非遗 百年传承
▼

联系方式
▼
电话:010--85399055
官网:http://www.luoyouming.cc/
地址:北京市朝阳区双柳北街1号院14号楼108 (百度\高德地图搜索“有明中医”导航即到)